
Researchers found that the location in and around tumours of cytotoxic T cells, which play a key role in fighting cancer, may help predict patient survival and indicate whether or not treatments will work.
The findings could help to pave the way for improved immunotherapies - powerful but expensive life-extending treatments which currently fail in 80 per cent of cases - allowing them to work more effectively in more patients, researchers say.
Experts caution, however, that further research and tests are needed alongside the integration of new technologies before any application in clinical practice is possible.
Immunotherapy failure
Lung cancer is one of the most common cancers worldwide and is the leading cause of cancer-related deaths. It is often diagnosed at an advanced stage when conventional treatments are less effective.
For this Cancer Research UK-funded study, University of Edinburgh researchers investigated why immunotherapy fails so often against the disease by examining molecules that can interfere with the activity of T cells, a type of white blood cell that fights disease.
Immunotherapies work by boosting the activity of cytotoxic T cells, which play a key role in patrolling the body to detect and kill cancer cells, but often become ‘exhausted’ when battling tumours.
As tumours grow they use complex mechanisms to escape destruction, including interfering with the activity of immune cells, such as T cells.
Patient survival
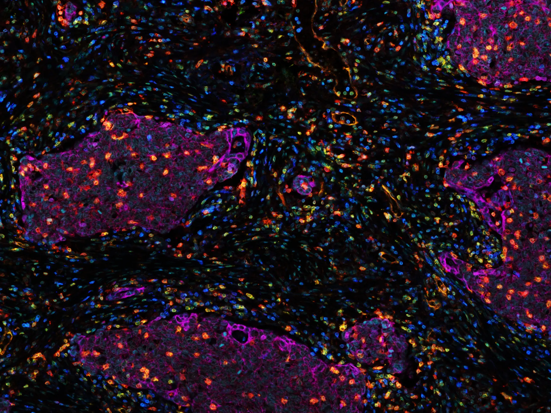
The team examined tumour tissue from 162 patients undergoing surgery for non-small cell lung cancer (NSCLC), the most common type, which accounts for more than 80 per cent of lung cancer cases.
The results revealed that high levels of two enzymes (CD39 and CD73), found on the surface of many different types of immune cells, were associated with reduced patient survival if found in tissue near the tumours.
T cells have an in-built safety mechanism designed to stop them from becoming overactive when fighting an infection. By raising the levels of these enzymes, tumours exploit this and escape destruction.
T cell location
The team also found that both the location and types of T cells that express these enzymes could also play an important role in helping to predict a patient’s prognosis and the success of immunotherapy.
High levels of CD39 on the surface of cytotoxic T cells located inside tumour nests – clusters of cancer cells - were associated with increased patient survival and a better response to immunotherapy.
In contrast when the same CD39 cytotoxic T cells were found outside of these tumour nests, in a region called the stroma, they did not affect patient survival.
High levels of CD39 on the surface of another type of T cell, known as regulatory T cells, that normally prevent the immune system from becoming overactive, were associated with reduced survival.
Improving Immunotherapy
The findings were consistent even when other factors were taken into consideration – such as a patient’s age, tumour size and whether they received chemotherapy in addition to surgery.
Understanding the mechanisms that suppress T cells and control their location could improve immunotherapy outcomes and better predict which patients will benefit from them, researchers say.
The study is published in the Journal for Immunotherapy of Cancer.